Boiterie pelvienne droite, d’apparition brutale, sans appui, chez un grand chat, jeune adulte, sans trauma rapporté.
Le diagnostic est dans cette description : confirmer le sur la radiographie !
Dr vétérinaire Camille Môre, assistante d’imagerie médicale
Dr vétérinaire Anaïs COMBES, DipECVDI, PhD, EBVS European Specialist in Veterinary Diagnostic Imaging
Un chat Maine Coon, mâle castré de 16 mois est présenté en urgence pour boiterie du membre pelvien droit d’apparition aiguë sans trauma.
L’animal présente une boiterie grade 5 du postérieur droit avec suppression d’appui et une douleur vive à la palpation et mobilisation du fémur et de la hanche droite. L’animal présente une hyperthermie à 39,3°C. Son score corporel est évalué à 4/5, il pèse 8,4kg.
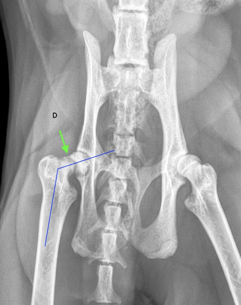
Après une prise en charge de la douleur des radiographies du bassin et des postérieurs sont réalisées (photo 1a et 1b).



Quelles anomalies radiographiques observez-vous ?
Les radiographies du bassin montrent une fracture oblique complète, peu déplacée, aux contours mal délimités du cartilage de croissance de la tête fémorale droite avec un discret déplacement latéral et une angulation accrue du col fémoral. La trame osseuse métaphysaire et épiphysaire adjacente au trait de fracture est d’opacité augmentée.

En conclusion, on observe une fracture du cartilage de croissance de la tête fémorale droite de type Salter Harris I associée à une sclérose adjacente au trait de fracture.
Quelles sont les hypothèses diagnostiques ?
Les images radiographiques, les commémoratifs et l’anamnèse sont pathognomoniques d’un glissement épiphysaire de la tête fémorale (« slipped capital femoral epiphysis »). Une disjonction épiphysaire traumatique ou une infiltration tumorale osseuse (ostéosarcome) sont beaucoup moins probables.
Le glissement épiphysaire de la tête fémorale correspond au glissement de l’épiphyse proximale de la tête fémorale par rapport à la métaphyse fémorale. C’est une fracture physaire de type Salter Harris I. C’est une fracture spontanée sans antécédent traumatique rapporté, dont l’étiologie et la pathogénie reste inconnue. Des facteurs prédisposants ont été mis en évidence, cette affection rare touche majoritairement les mâles (1,2), jeunes adultes âgés de 16 à 22 mois (3) et de race (Siamois (2), Maine Coon (1)), particulièrement de grand format ou en surpoids. La stérilisation précoce et le caractère héréditaire de la pathologie sont des facteurs prédisposants suspectés mais non démontrés significativement à ce jour (1). L’affection est bilatérale dans 34,6 à 41,2% selon les études (1,2,4) ce qui laisse suspecter une fragilisation du cartilage de croissance (dysplasie) comme pathogénie.
Il est parfois nécessaire de réaliser des projections ventrodorsales en flexion et en extension, grâce à une analgésie efficace, pour mieux visualiser la fracture.
Quelle prise en charge proposeriez-vous ?
Le traitement chirurgical est recommandé par rapport au traitement conservateur afin d’éviter les risques de mal-union de la fracture et de boiterie chronique. Dans la plupart des cas gérés avec un traitement conservateur, des lésions de pseudarthrose hypertrophique avec production d’ostéophytes se développent autour du trait de fracture et sont à l’origine d’une boiterie chronique (5).
La fragilisation du cartilage de croissance amène à préférer un traitement chirurgical palliatif (RTCF) ou restaurateur (PTH) plutôt qu’un traitement chirurgical réparateur (brochage de la tête fémorale) ou conservateur (cageothérapie). Les deux techniques chirurgicales de choix sont donc la Résection Tête et Col du Fémur (RTCF) ou Exérèse-Arthroplastie de la Hanche, et la Prothèse Totale de Hanche (PTH). (5,6).
Résection Tête et Col du Fémur (RTCF) : La technique consiste en une ostectomie du col fémoral. C’est une technique chirurgicale rapide, facilement réalisable et irréversible. Le pronostic clinique est bon à excellent dans les différentes études (7). Une amyotrophie, une diminution de l’amplitude des mouvements, une discrète boiterie, une douleur à la mobilisation de la hanche et un raccourcissement du membre sont les principales complications de la chirurgie (5).

Prothèse Totale de Hanche (PTH) : La technique consiste en une ostectomie du col fémoral puis un modelage de l’acetabulum d’un côté et le forage d’un canal dans le fémur proximal de l’autre, afin d’y insérer l’implant permettant ainsi de reconstruire une articulation artificielle de la hanche. C’est une technique chirurgicale encore peu répandue en raison de sa technicité, de son coût élevé et de la formation spécifique nécessaire pour la réaliser. La chirurgie peut s’avérer plus compliquée en cas de pathologie chronique avec des remodelages anatomiques ou de la fibrose péri-articulaire. Le pronostic clinique est excellent. Les principales complications sont le descellement (aseptique ou septique) du matériel, une malposition de l’implant, une fracture fémorale ou encore une luxation de l’implant (5,6).
Plus d’études sont nécessaires pour pouvoir comparer les deux techniques et proposer le meilleur choix de traitement dans le cadre des glissements épiphysaires de la tête fémorale. Au moment du traitement de la hanche fracturée, il est important de prévenir les propriétaires que le chat peut subir une fracture controlatérale dans les semaines ou mois qui suivent.
Bibliographie
(1) Borak, D.; Wunderlin, N.; Bruckner, M.; Schwarz, G.; Klang, A. (2015). Slipped capital femoral epiphysis in 17 Maine Coon cats. Journal of Feline Medicine and Surgery, (), 1098612X15598551–. doi:10.1177/1098612×15598551
(2) Craig, L. E. (2001). Physeal Dysplasia with Slipped Capital Femoral Epiphysis in 13 Cats. Veterinary Pathology, 38(1), 92–97. doi:10.1354/vp.38-1-92
(3) Harasen G. Atraumatic proximal femoral physeal fractures in cats. Can Vet J. 2004 Apr;45(4):359-60. PMID: 15144117; PMCID: PMC2751682.
(4) McNicholas, Walter T.; Wilkens, Brent E.; Blevins, William E.; Snyder, Paul W.; McCabe, George P.; Applewhite, Aric A.; Laverty, Peter H.; Breur, Gert J. (2002). Spontaneous femoral capital physeal fractures in adult cats: 26 cases (1996-2001). Journal of the American Veterinary Medical Association, 221(12), 1731–1736. doi:10.2460/javma.2002.221.1731
(5) Lafuente P. Young, male neutered, obese, lame? Non-traumatic fractures of the femoral head and neck. J Feline Med Surg. 2011 Jul;13(7):498-507. doi: 10.1016/j.jfms.2011.05.007. PMID: 21704899.
(6) Liska, W. D.; Doyle, N.; Marcellin-Little, D. J.; Osborne, J. A. (2009). Total hip replacement in three cats: surgical technique, short-term outcome and comparison to femoral head ostectomy. Veterinary and Comparative Orthopaedics and Traumatology, 22(6), 505–510. doi:10.3415/VCOT-08-09-0087
(7) Berzon JL, Howard PE, Covell SJ, Trotter EJ, Dueland R. A retrospective study of the efficacy of femoral head and neck excisions in 94 dogs and cats. Vet Surg 1980; 9: 88–92.
Pour en savoir plus, voici un article sur les intérêts du scanner et de l’IRM.
Comme en médecine humaine, les chiens aussi peuvent avoir besoin d’un…
Le terme de « dysplasie » est un terme général qui pourrait êtr…
C’est avec grande fierté que nous accueillons le Dr Lévy, spéci…